Gambar Usg Tumor Rahim

Oct 13, 2023

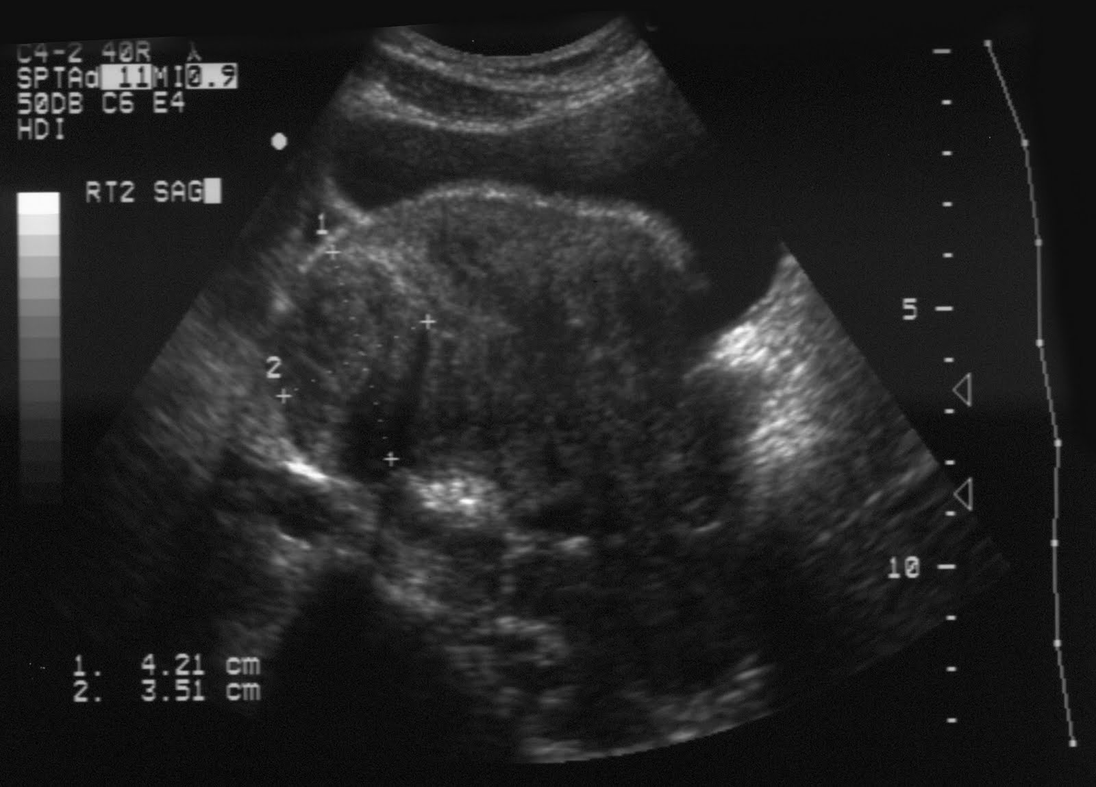
Tumor Kandungan Mioma Kista | pengobatan penyakit tumor | gangguan kesuburan Obat Herbal Kanker Rahim dan Serviks Hamil anggur - gejala, penyebab, dan cara menanganinya | theAsianparent Indonesia KESEHATAN PASIEN: January 2013 Dr.prima - dokter spesialis kandungan - “Tumor Mioma saat hamil” Tumor pada otot dinding rahim dikenal juga sebagai Mioma/fibroid. Asalnya dari otot rahim bentuknya benjolan daging mirip bakso. Beda dengan kista, benjolannya BILIK SONOGRAFER : Kista Ovarium Cara Membaca Foto USG: 8 Langkah (dengan Gambar) - wikiHow MACAM-MACAM KISTA. Dari USG bisa… - dr Yudhistya SpOG | Facebook Pertama di Dunia, Dokter Berhasil Angkat Tumor Janin dalam Rahim Gisantia Bestari — Hamil Dengan Rahim Spesial Alasan Perempuan Perlu USG Sekali Setahun KB Spiral Wanita Ini Menembus Dinding Rahim Hingga Kandung Kemih, Jarang Terjadi Tapi Risikonya Fatal! - Semua Halaman - Grid Health 5 Langkah Membaca Hasil USG yang Bisa Bunda Pelajari Kista di Rahim | Sehat PLUS Cantik Kista 5 Kg Ibu Hamil Hilang Tanpa Operasi Halaman all - Kompasiana.com Terjadi Lagi, Bayi Baru Lahir Ini ‘Mengandung’ Janin Kembarannya Sendiri Sejak dalam Kandungan - Semua Halaman - Grid Health Kanker Payudara: Setelah Kemoterapi dan Radioterapi Kanker Menyebar ke Hati Nya – Mengenal Kanker Dokter Chandra: Rahim Membesar Belum Tentu Hamil, Bisa Jadi Tumor - Padang Media Apa Sebab Rahim dan Indung Telur Tak Berkembang? | Kaltim Post Ingin Terhindar dari Kista? Jauhi 4 Jenis Makanan Enak Ini Sekarang! - Semua Halaman - Grid Health MACAM-MACAM KISTA. Dari USG bisa… - dr Yudhistya SpOG | Facebook Tadinya Diperkirakan Tumor Rahim yang Lengket Usus, Taunya ‘GIST’ - Kompasiana.com Tumor Kandungan (Miom, Kista) – ask-dr. David Mayndra Utama, SpOG Mengenal Kehamilan Kosong atau Blighted Ovum (BO) - Bidanku.com Harus Operasi Rahim Karena Infeksi Suntik KB, Kisah Wanita Ini Pilu - Lifestyle Fimela.com Kesha Ratuliu Ungkap Hasil USG Payudara, Jangan Tertukar, Ini Beda Tumor dan Kista - Halaman all - TribunStyle.com wanita wajib tahu, inilah rahim sehat - YouTube Bagaimana Cara Membaca Hasil USG? • Hello Sehat Dokter Spesialis Kebidanan Dan Penyakit Kandungan T-end RI: Teknik Pemeriksaan USG Vesica Urinaria dan Uterus Tumor Kandungan Mioma Kista | pengobatan penyakit tumor | gangguan kesuburan Kenali Cara Membaca Hasil USG Untuk Tahu Kondisi Bayi - Ibupedia Bila Terpaksa Hanya Menyisakan Leher Rahim Si Nona Halaman all - Kompasiana.com Wanita Lajang Perlu Waspadai Penyakit Kanker Ovarium USG Payudara: Fungsi, Prosedur, dan Persiapan yang Diperlukan Hal-hal yang Dapat Menjadi Faktor Penyebab Posisi Janin Jadi Sungsang Penyebab janin dalam kandungan menghilang Selain Kehamilan, Tes USG Bisa Deteksi 5 Kondisi Ini MACAM-MACAM KISTA. Dari USG bisa… - dr Yudhistya SpOG | Facebook Ahli Kista: September 2013 5 Tanda Kamu Mungkin Terkena Kanker Rahim - Alodokter Mengenal Istilah pada Hasil USG Kehamilan di Trimester Pertama Infertilitas atau susah punya anak – FeryWijayaSpOG operasiginekologi Instagram posts (photos and videos) - Picuki.com Kenali Perbedaan Tes USG Abdominal dan Transvaginal Tadinya Diperkirakan Tumor Rahim yang Lengket Usus, Taunya ‘GIST’ - Kompasiana.com Macam-macam USG untuk Pemeriksaan Kandungan | OTC Digest USG Transvaginal dan Perut, Mana yang Lebih Baik? Diagnosis Sindrom Ovarium Polikistik - Alomedika Tendangan Keras Bayi di Dalam Perut Bikin Rahim Sang Ibu Robek hingga Kaki Bayi Keluar - Halaman all - Tribun Medan Dikira Cuma Masuk Angin, Dokter Ini Tercengang Saat Temukan Kista Sebesar Bola Sepak di Dalam Perut Pasiennya! - Semua Halaman - Grid.ID Tumor jinak & mioma uteri Kesha Ratuliu temukan benjolan tumor di payudaranya, kenali gejalanya! | theAsianparent Indonesia Welcome to FITRULLAH DOT COM ******* Daily Note: Global Society Care and Research ! ****: Hasil Tes USG Penderita Tumor Payudara: Tumor Lenyap! Kehamilan Membuat Saya Terkena Kanker Serviks’ Operasi Pengangkatan MIOM Tanpa ANGKAT Rahim(dr Boy Abidin) - YouTube Kirain Turun Berok, Ternyata Hamil dan Akhirnya Keguguran (bagian 2) Hasil USG Tunjukkan Ada Gelembung dalam Rahim,Faktanya Bikin Wanita Menangis,Ternyata Janinnya - Tribun Sumsel Kumpulan Artikel Tumor Payudara Inilah Perbedaan antara USG 2D dan USG 3D Unggah Foto USG, Kesha Ratuliu Dikira Hamil Padahal Belum Nikah. Ternyata itu Bukan Foto Rahim Cara Membaca Foto USG: 8 Langkah (dengan Gambar) - wikiHow Pyometra, Penyakit Infeksi Rahim Pada Anjing - Kesehatan Anjing - AnjingKita.Com 5 Fakta Kista Coklat yang Harus Diketahui | Popmama.com Gejala Kanker Serviks, Penyebab, Biaya Berobat & Dokter - Smarter Health Miom - Gejala, penyebab dan mengobati - Alodokter Pemeriksaan USG Transvaginal vs USG Abdominal: Lebih Baik Mana? Muncul Tanpa Gejala, Ini 5 Cara Diagnosis Fibroid Rahim BAB II TINJAUAN PUSTAKA. Tumor ovarium adalah neoplasma yang berasal dari jaringan ovarium. Tumor ovarium - PDF Download Gratis Pengalaman ; Kista, Laparoskopi – Bayi Tabung – IVF | : : ZABANIYYAH : : Bagaimana Membedakan Tumor Jinak dan Ganas - Futuready Keguguran Bisa Dideteksi Dari Setiap Tahap Kehamilan – Apakabar Online Tumor jinak & mioma uteri 10 Ciri-Ciri dan Gejala Miom Rahim yang Mudah Dikenali | HonestDocs Kondisi Begini Membuat Wanita Harus Melakukan USG Transvaginal Manfaat USG Tidak Hanya Untuk Penentuan Jenis Kelamin Janin | Medicalogy MACAM-MACAM KISTA. Dari USG bisa… - dr Yudhistya SpOG | Facebook gambar pemeriksaan usg by aa craft USG Transvaginal, Pemeriksaan yang Ampuh Deteksi Penyakit di Area Panggul, Cek yuk! - Semua Halaman - Grid.ID Jual Manjur obat kanker leher rahim kista tumor kanker payudara rekomendasi - Kab. Cilacap - Toko Pengobatan Herbal. | Tokopedia Unggah Foto USG, Kesha Ratuliu Dikira Hamil Padahal Belum Nikah. Ternyata itu Bukan Foto Rahim Kista Fungsional, Bahaya Nggak Sih ? – esshintaku Tanda Janin Sedang Bermasalah dalam Rahim per-Trimester - Mommies Daily Diagnosis Penyakit Radang Panggul (PID) - Alomedika Genbest - Generasi Bersih dan Sehat 3 Cara Membaca Hasil USG yang Benar, Biar Nggak Salah Kaprah | merdeka.com Mioma Uteri | Gejala, Diagnosis, Pengobatan Apa saja kondisi rahim bermasalah yang perlu diwaspadai? Cara Membaca Foto USG: 8 Langkah (dengan Gambar) - wikiHow BAB II TINJAUAN PUSTAKA. Tumor ovarium adalah neoplasma yang berasal dari jaringan ovarium. Tumor ovarium - PDF Download Gratis Pakai USG, Janin Ini Menendang Keras Rahim Ibunya Hingga Kakinya Keluar, Dokter pun Panik - Tribun Pekanbaru Jual Produk Kista Rahim Herbal Murah dan Terlengkap Maret 2020 | Bukalapak Benjolan di Perut, Ini 7 Gejala Tumor Jinak Rahim 6 Potret Kondisi Suteng Pengasuh Arsy Hermansyah Pasca Operasi 10 Jam, Lemas Tak Berdaya - Kapanlagi.com Kenali Perbedaan Miom dan Kista - Investor.ID PEMERIKSAAN ULTRASONOGRAFI (USG) MUSKULOSKELETAL M BIOPRO ASLI Obat Herbal Miom Tanpa Operasi - Obat Ampuh Kista Ovarium - Kista Dermoid - Kanker Serviks - Kanker Rahim - Kanker Payudara - Tumor - Kanker Uterus Abnormal - BAB 2 TINJAUAN PUSTAKA Ciri-Ciri Rahim yang Sehat dan Subur, Wajib Diketahui Wanita USG, Ini yang Harus Anda Ketahui - Alodokter

anda boleh meng copy semua artikel pada web ini, mau diapain juga boleh kok terserah anda saja, yang penting ada tanggung jawab dengan apa yang ada lakukan. jangan sampai anda merugikan semua orang. kamu juga boleh mendownload men share ke keluarga, sahabat, teman lama, gebetan dan yg lainnya. jika dalam artikel ini ada gambar yang bersumber dari luar web itu merupakan diluar tanggung jawab kami.

Motif Gambar Keren

Gambar Usg Janin